
골절이란 뼈가 부러지거나 금이 간 것을 말합니다. 강한 외력이 작용하여 뼈가 부분적으로 또는 완전히 엇나가 뼈의 연속성이 소실된 상태를 말합니다. 흔히 "뼈가 부러졌다."라고 말하는 것이 바로 골절입니다. 골절은 정형외과학에서 가장 흔히 보이는 질환이며, 제대로 발견하고 치료하면 환자에게 큰 불편을 주지 않지만, 제대로 치료 되지 않거나 골절의 종류가 좋지 않은 경우 환자에게 큰 후유증을 남길 수 있습니다.
골절의 종류
외관에 따라 폐쇄형 골절과 개방형 골절로 나뉘고, 골절 상태에 따라 분쇄골절, 분절골절이 있으며, 골절면에 따라 종골절, 횡골절, 사골절, 나선골절이 있습니다.
폐쇄골절은 우리가 가장 일반적으로 접하는 골절 형태입니다. 개방골절은 골절이 발생하여 뼈가 제 위치에서 벗어나 피부를 찢고 나온 경우를 말합니다. 분쇄골절은 골절이 발생한 후 발생 부위에서 뼈가 여러 작은 조각으로 나뉜 골절입니다. 분절골절은 골절이 발생한 뼈가 여러 조각으로 나뉜 골절입니다. 종골절은 골절이 발생하여 갈라지거나 끊어진 면이 세로로 되어 있는 경우입니다. 횡골절은 끊어진 면이 가로로 되어 있는 골절입니다. 사골절은 끊어진 면이 비스듬이 되어 있는 경우입니다. 나선골절은 끊어진 면에 연속성이 일정하지 않은 골절이며, 유아골절은 골절이 발생하였으나 갈라지거나 끊어지지 않고 뼈가 함몰되거나 일그러진 경우를 말합니다. 아직 성장이 완료되지 않은 어린 아이들에게서 주로 나타나는 골절입니다.

골절의 증상
손상을 입은 부위에서 큰 통증이 발생합니다. 골절된 부위 주변에 부종이 생겨 퉁퉁 붓고, 피가 고여 멍이 생기기도 합니다. 팔뼈나 다리뼈 등 긴 뼈가 부러질 경우 주변 근육이 경직되어서 다소 짧아진 것 처럼 보일 수도 있습니다. 어떤 경우에는 골절부위가 휘기도 합니다.
골절이 바생하면 손상 부위가 비정상적으로 흔들리고 통증 때문에 움직이지 못해 정상적인 기능을 상실할 수 있으며 감각 손상, 근육 경련, 마비 등이 올 수도 있습니다.
골절이 일어나면 골절된 부위가 자극되기에 보통은 고통을 느끼지만, 정도나 부위에 따라 고통을 못 느끼는 경우도 있습니다. 특히 갈비뼈가 부러진 경우 그렇습니다. 그렇기 때문에 골절이 생겼음에도 큰 불편함을 느끼지 못해 병원에 가야 할 시기를 놓치고 후유증이 남을 수도 있습니다.
때로는 골절 환자에게 특이한 자세가 나타날 수 있습니다. 빗장뼈골절 환자는 정상 측의 손으로 다친쪽 상지를 떠받치고, 머리는 골절된 쪽으로 돌리는 자세를 보입니다. 또 외상환자가 누워있는 자세에서 일어날 때 손으로 머리를 잡고 일어난다면, 2번 경추의 치아돌기 골절을 의심해볼 수 있습니다.
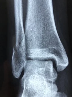
골절은 방사선 검사에 의해서 확진되지만, 신체 검진을 통하여 확인할 수도 있습니다. 골절 부위를 움직였을 때 통증과 함께 골편의 마찰로 인해 발생하는 염발음(뼈가 서로 마찰되면서 생기는 소리)을 확인할 수도 있습니다.
골절 응급처치 방법
가장 중요한 것은 다친 부위가 더 이상 움직이지 않도록 하는 것입니다. 부목 등을 이용하여 손상된 부위가 움직이지 않도록 하는데, 이 때 처치를 하다가 무리하게 움직여 상태를 더욱 악화시킬 수 있으므로 구급차가 올 수 있는 곳에서는 움직이지 않고 구조를 기다리도록 하고, 산 속처럼 구급차가 올 수 없는 경우 응급 처치를 하는 것이 좋습니다.
응급처치를 할 경우에는 환자가 편안한 자세 그대로 움직이지 않게 고정해야합니다. 움직일 때에는 골절된 !뼈와 관절의 위, 아래 관절을 동시에 고정하여 움직이지 않도록 하는 것이 중요합니다. 부목은 다친 부위의 뼈보다 길어야 하고 부드러운 천으로 피부에 손상을 주지 않도록 해야 합니다. 부목은 단단하고 가벼운 재질로 된 것이 좋으나 구하기 어려운 경우 담요나 신문지를 접은 것 등을 사용할 수도 있습니다.
응급처치를 할 때 뼈가 밖으로 반져지더라도 제자리로 돌리려는 시도를 하면 안됩니다. 대부분 무리하게 정복을 시도하다가 인대나 근육의 손상을 더 심각하게 하고 통증을 줄 수 있습니다.
팔다리의 손상에 비해 척추나 골반 뼈 부위를 다친 경우 내부 장기나 혈관의 손상으로 출혈이 생겨 쇼크에 빠질 위험이 있으므로 환자를 눕힌 자세에서 가급적 움직이지 않도록 하고 병원으로 빨리 이송하여야 합니다.
'의학 정보' 카테고리의 다른 글
| 교상(동물이나 곤충에 물렸을 때)는 어떻게 응급처치 해야할까? (0) | 2021.11.05 |
|---|---|
| 소아 열성 경련 증상과 응급처치 방법 미리 알아두어요 (0) | 2021.11.04 |
| 화상을 입었을 때는 어떻게 해야 할까요? (0) | 2021.11.02 |
| 자동제세동기 종류와 사용법 (0) | 2021.11.02 |
| 기본 심폐소생술의 단계 (0) | 2021.10.30 |